Common Problems

Orthodontic issues can affect anyone, and it’s important to recognize that perfect teeth are quite rare. A malocclusion, commonly referred to as a “bad bite,” can lead to difficulties with chewing, speaking, and maintaining oral hygiene and can impact one’s appearance. Bad bites may result from various factors, including genetics, thumb sucking, dental diseases, poor oral hygiene, accidents, congenital disabilities, or other medical conditions.

Understanding the orthodontic issue affecting you or your child is the first step toward finding a solution. Orthodontic treatment with Dr. [doctor-full-name] can enhance both the functionality of your bite and the aesthetic appeal of your smile with braces or Invisalign.

Below are some of the most common orthodontic problems:

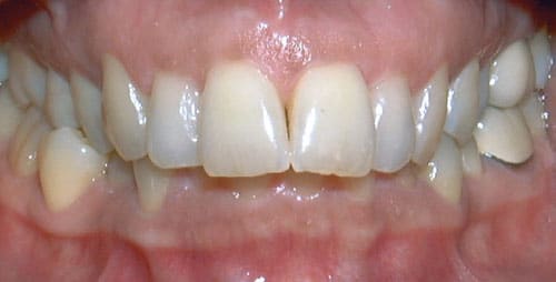
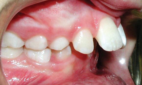
Upper Front Teeth Protrusion

This issue occurs when the upper teeth extend too far forward or the lower teeth don’t extend enough. It can impact chewing and speaking, as well as the appearance of your smile. Treatment typically includes braces or Invisalign to realign the teeth.

Overbite

An overbite happens when the upper teeth extend too far over the lower teeth. This misalignment can cause discomfort and wear on the teeth. Braces or other orthodontic treatments can correct this and restore a balanced bite.

Crossbite

A crossbite occurs when the upper teeth sit inside the lower teeth. It can cause tooth misalignment and jaw growth issues. Braces or aligners can help correct this misalignment and improve bite function.

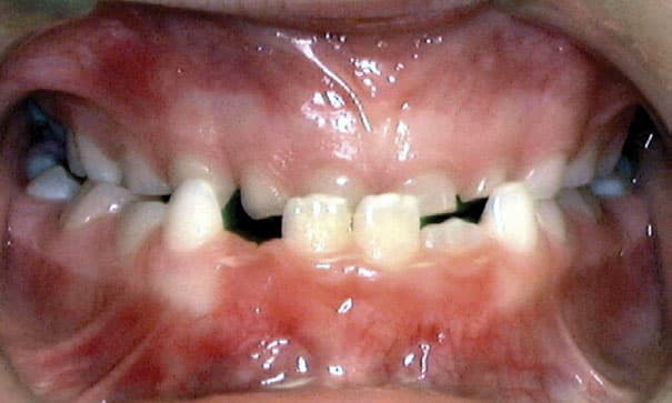
Openbite

In an openbite, the upper and lower front teeth don’t overlap, making chewing difficult. It can lead to habits like tongue thrusting. Treatment often involves braces to realign the teeth and improve chewing function.

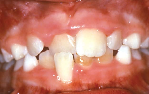
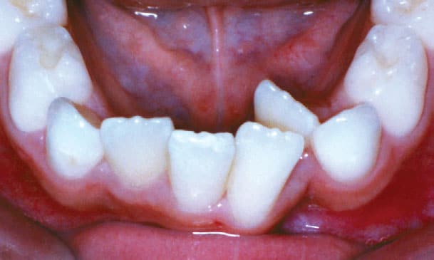
Crowding

Crowding happens when there’s not enough space for teeth to erupt properly, causing them to overlap. Braces and expansion techniques can create space for the teeth and improve alignment, often avoiding the need for extractions.

Spacing

Spacing issues arise from gaps between teeth, often due to missing teeth. Some cases are cosmetic, but treatment with braces or aligners can close gaps and improve both function and appearance. Missing teeth can be addressed with implants.

Underbite

An underbite occurs when the lower jaw extends too far forward, causing the lower teeth to sit in front of the upper teeth. It can affect chewing and speaking. Treatment options include braces or surgery in severe cases to realign the jaw and teeth